Research Press Release
April 22, 2021
Our project is featured in the Research News of Hokkaido University! Please click the link below.
New therapy target for malignant melanomas in dogs – Hokkaido University
We have shown that the biological molecule PD-L1 is a potential target for the treatment of metastasized oral malignant melanoma in dogs. The finding was published in one of the Nature Partner Journals, npj Precision Oncology.
This release is related to the original article below:
Maekawa et al., PD-L1 immunohistochemistry for canine cancers and clinical benefit of anti-PD-L1 antibody in dogs with pulmonary metastatic oral malignant melanoma. npj Precision Oncology, 5: 10, 2021.
https://www.nature.com/articles/s41698-021-00147-6 (open access)
Please check our previous press release if you are interested in the history of our study.
New therapeutic antibody for dog cancers (Research Press Release, August 25, 2017)
A clinical research team of this study

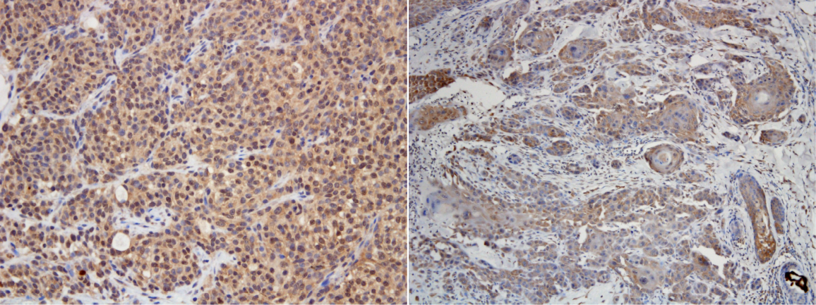
PD-L1 immunohistochemical staining in typical oral malignant melanoma (left) and squamous cell skin cancer (right).
The tumor cells are stained brown, indicating that they are PD-L1 positive (Maekawa et al. npj Precis. Oncol. 2021).
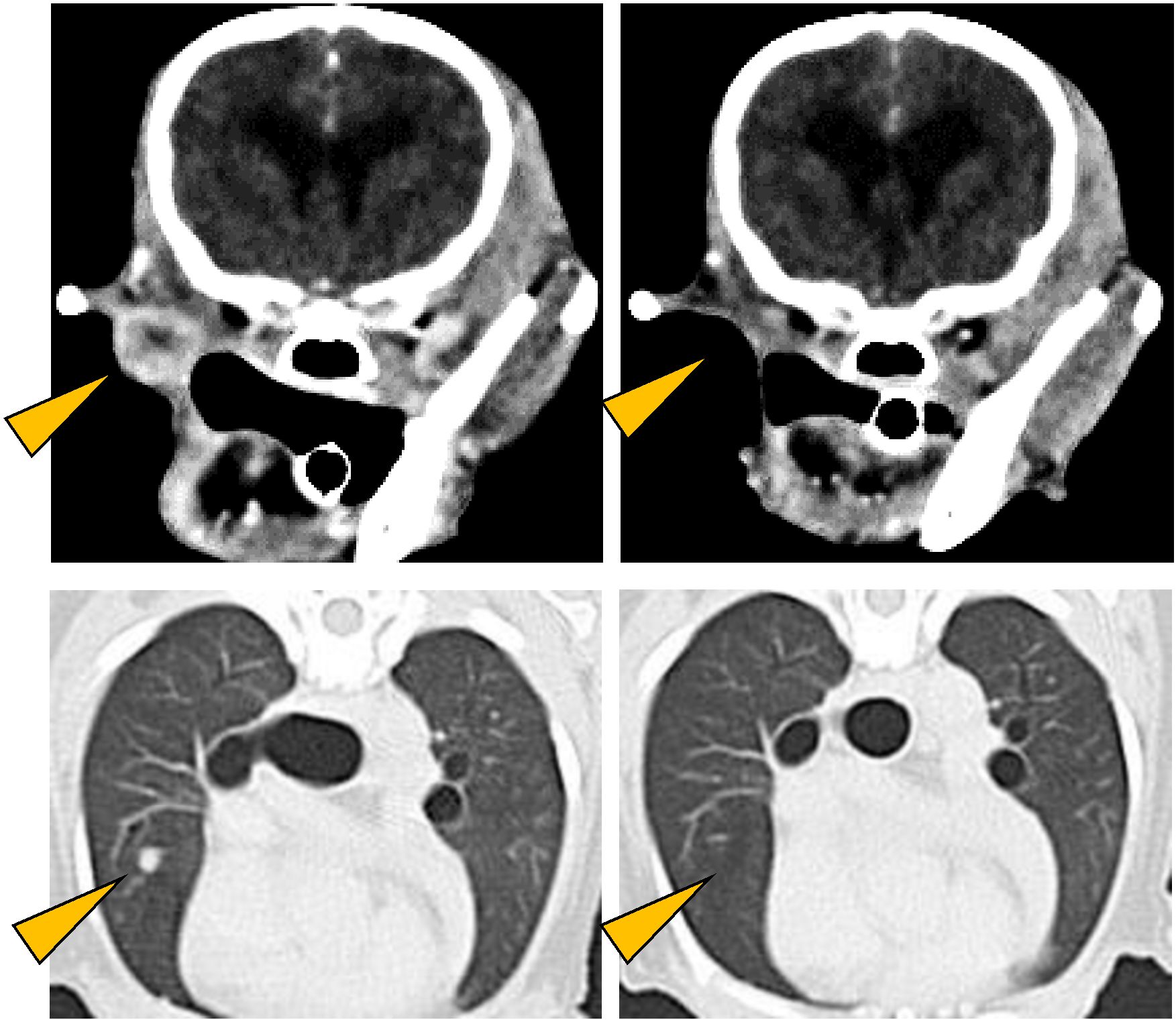
Antitumor effect of anti-PD-L1 antibody.
CT images of oral malignant melanoma (upper left) and its lung metastases (lower left) observed in a Pomeranian (12 years old, male).
As a result of treatment with anti-PD-L1 antibody, all detectable tumors disappeared (right panels) (Maekawa et al. npj Precis. Oncol. 2021).

Research Press Releases
April 2, 2021
Probiotics keep calves healthy, too!
January 29, 2021
Deeper insight into how tick spit suppresses cattle immunity
August 2, 2019
The drug combination effective against bovine leukemia
April 2, 2018
Unraveling the immunopathogenesis of Johne’s disease
August 25, 2017
New therapeutic antibody for dog cancers
June 7, 2017
Overcoming immune suppression to fight against bovine leukemia
